Carcinoma tế bào túi tuyến (Acinic cell carcinoma – ACC) là một khối u ác tính hiếm gặp của tuyến nước bọt; chiếm khoảng 1–3% các u tuyến nước bọt. Ngoài tuyến nước bọt, carcinoma tế bào túi tuyến còn có thể xuất hiện ở các cơ quan khác như vú, phổi, trong đó nguyên phát tại phổi là hiếm gặp nhất. Trường hợp carcinoma tế bào túi tuyến của phổi đầu tiên trên thế giới được báo cáo bởi Fechner vào năm 1972. Cho đến nay, mới chỉ có khoảng 25 trường hợp carcinoma tế bào túi tuyến nguyên phát tại phổi được ghi nhận.
Bệnh nhân nữ 62 tuổi đến khám tại bệnh viện Ung Bướu Đà Nẵng, phát hiện có khối u trực tràng giữa, kết quả sinh thiết là carcinoma tuyến. Bệnh nhân được chụp cắt lớp vi tính ngực, bụng để đánh giá tình trạng di căn thì phát hiện có nốt mô mềm lồi vào lòng phế quản thùy dưới gây hẹp nặng phế quản, gây xơ xẹp nhu mô phổi phía ngoại vi phổi phải, theo dõi u. Sau đó bệnh nhân được nội soi phế quản. Kết quả nội soi cho thấy có tổn thương gây hẹp lòng phế quản, bệnh nhân được sinh thiết tổn thương trong lòng phế quản.
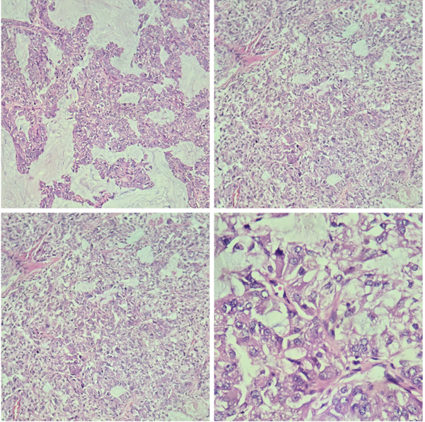
Mẫu sinh thiết nhỏ 5mm, phân tích mô bệnh học cho thấy các tế bào u sắp xếp thành cấu trúc dạng đặc, bào tương ái toan, ít tế bào có bào tương sáng. Mẫu sinh thiết nhỏ, gồm ít tế bào u, khó đánh giá tính chất xâm nhập. Mô học hoàn toàn khác so với u ở trực tràng giữa, loại trừ di căn từ trực tràng. Với các đặc điểm mô bệnh học trên có thể hướng đến u thần kinh nội tiết, carcinoma tuyến dạng đặc của phổi. Chẩn đoán phân biệt với carcinoma tế bào túi tuyến. Kết quả hóa mô miễn dịch: CK7 dương tính. CK20, TTF1, Napsin A, p40, CDX2, Synaptophysin, Chromogranin A, CD56 âm tính. Các dấu ấn TTF1, Napsin A âm tính, tế bào u ít dị dạng, ít phân bào, nên không phù hợp với chẩn đoán carcinoma tuyến dạng đặc của phổi. Các dấu ấn thần kinh nội tiết cũng âm tính, các tế bào u có hạt nhân, không sắp dạng bè, dạng đảo, …nên loại trừ chẩn đoán u thần kinh nội tiết. Mô bệnh học và hóa mô miễn dịch lúc này hướng đến carcinoma tế bào túi tuyến.
Khảo sát các tuyến nước bọt chính và tuyến nước bọt phụ không thấy tổn thương. Sau đó bệnh nhân được phẫu thuật cắt bỏ u phế quản. Trên mẫu bệnh phẩm phẫu thuật, bên cạnh các vùng u đặc bào tương sáng và ái toan, u còn có các vùng dạng túi tuyến, dạng nhú. Mô học trên mẫu bệnh phẩm sau mổ hoàn toàn phù hợp với carcinoma tế bào túi tuyến.

Carcinoma tế bào túi tuyến là loại u hiếm gặp trong lồng ngực, với các triệu chứng lâm sàng và đặc điểm hình ảnh học không đặc hiệu, do đó dễ dẫn đến chẩn đoán nhầm hoặc bỏ sót. Chẩn đoán xác định có thể được thực hiện thông qua sinh thiết hoặc phẫu thuật. Phẫu thuật cắt bỏ là phương pháp điều trị hiệu quả, và đa số bệnh nhân có tiên lượng tốt. Tỷ lệ sống còn sau 5 năm được ghi nhận trong y văn trong và ngoài nước đạt ≥ 90%. Tuy nhiên, tái phát hoặc di căn vẫn có thể xảy ra, ngay cả sau nhiều thập kỷ kể từ khi điều trị phẫu thuật. Do đó, bệnh nhân cần theo dõi lâu dài.
Ths.Bs Trương Thị Ngọc Hân & BSCK1. Nguyễn Quang Phú
Nguồn tham khảo
Xia, M. and F. Xu (2022). “Primary Bronchial Acinic Cell Carcinoma: A Case Report and Review of the Literature.” Ann Clin Med Case Rep 10(9): 1-3.
Nie, L., et al. (2019). “Primary Pulmonary Acinic Cell Carcinoma: A Clinicopathological Study of 6 Cases and Literature Review.” Int J Surg Pathol 27(6): 584-592.
Hirano, K., et al. (2021). “P36.01 Primary Acinic Cell Carcinoma of Bronchial Ground Origin: A Case Report.” Journal of Thoracic Oncology 16(10): S1062-S1063.
